小児矯正
皆様こんにちは☆ABC歯科クリニックです。
本日は小児矯正についてです(´∀`)
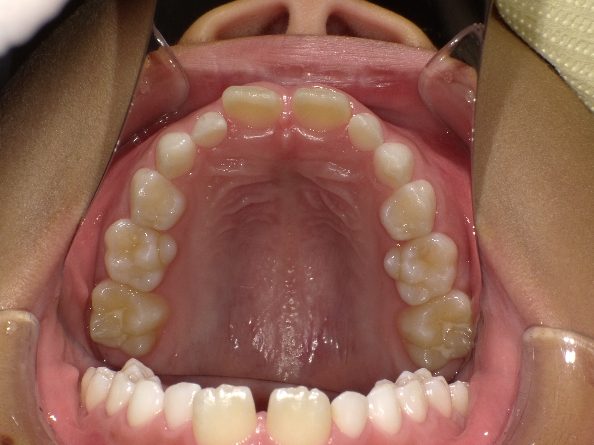
小児矯正では下の写真のように矯正装置をつけます。
お子様は顎がまだ小さく乳歯から永久歯に生え変わると永久歯の入るスペースが足りず歯並びがガタガタになってしまう場合があります。お子様は大人と違い顎の骨や歯が成長途中で動くスピードも早いため写真にある装置を使い顎を広げ歯が入るスペースを作っていきます。十分なスペースを確保できたら装置を卒業し普通のワイヤー矯正の治療になります✽
装置は基本お子様が自分で付ける物になりますので最初は装置の正しい付け方から一緒に練習していきます!慣れると鏡なしで付けられるようになりますよ☆装置の色も何種類かあるので、お好きな色が選べますよ!
お子様の歯並びが気になる方は是非ABC歯科クリニックへ☆

050-1809-9646
