審美治療
あなたの笑顔はもっと輝く可能性を秘めています
このような経験はありませんか?
- ふとした瞬間に口元を手で隠してしまう
- 写真を見返した時、思いきり笑えていない自分に気づく
- お口の中に過去に治療した金属の詰め物や被せ物があり、それがずっと気になっている
もしあなたにそのようなご経験があるのなら、ぜひ私たちにお話をお聞かせください。
そのお悩みは決して些細なことではありません。
自信を持って笑えないという心の枷(かせ)になっているのかもしれないのです。
審美治療はそうした心の重荷を外し、あなたが本来持っている晴れやかで美しい笑顔を取り戻すための治療です。
しかし私たちの考える審美治療は、単に歯を白くしたり形を整えたりするだけの表面的な美しさの追求ではありません。
私たちが目指す審美治療の3つの要素
- 天然の歯と見分けがつかないほどの「自然な美しさ」
- しっかりと噛めて永く使い続けられる「優れた機能性」
- 再び虫歯や歯周病になりにくい「健康的な口腔環境」
この三つが完璧に調和してこそ、本当の審美治療は完成すると私たちは信じています。
それは歯科医師と歯科技工士が持てる技術と感性のすべてを注ぎ込んで創り上げる、世界に一つだけの「オーダーメイドの芸術作品」です。
あなたの笑顔のポテンシャルをここで最大限に引き出してみませんか。
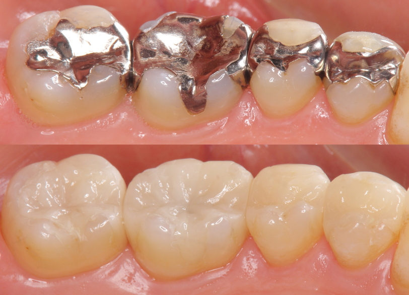
なぜ今「銀歯」を見直すべきなのか―お口と体からの小さなサイン
日本の保険診療では奥歯などの虫歯治療に、いわゆる「銀歯」と呼ばれる金属の詰め物や被せ物が長年にわたって広く使われてきました。
しかしこの銀歯には見た目の問題以上に、私たちの健康にとって見過ごすことのできないいくつかの問題点が潜んでいることが近年明らかになってきています。
銀歯の問題点

美しさを損なうその存在感
まず何よりも口を開けた時にきらりと光る金属の色は、白く美しい歯列の中でどうしても目立ってしまいます。
白い陶器のカップに金属の継ぎ当てがあるようなものです。
その存在があなたの笑顔の自然な美しさを損なってしまっているかもしれません。
金属アレルギーという隠れたリスク
お口の中は常に唾液で満たされています。
銀歯などの金属はその唾液によって長い年月をかけてごくわずかずつ溶け出し、金属イオンとなって体内に取り込まれていきます。
この金属イオンが体内に蓄積されることで、ある日突然原因不明の皮膚のかぶれや手足の湿疹といった金属アレルギーの症状を引き起こすことがあるのです。
お口の中の金属が全身の不調に繋がっている可能性は、決してゼロではありません。
二次虫歯の温床になってしまう危険性
金属とご自身の歯。
性質が全く異なるこの二つを完璧に接着させ続けることは、実は非常に困難です。
経年劣化によって歯と金属の間に、目には見えないほどのわずかな隙間ができてしまうことがあります。
そしてその隙間から虫歯菌が侵入し、詰め物や被せ物の内部で静かに虫歯が再発してしまうのです。
これを「二次カリエス」と呼びます。
外からは見えにくいため気づいた時には神経の近くまで虫歯が進行していることも少なくなく、歯の寿命を縮めてしまう大きな原因となります。
歯茎を黒く染めてしまうメタルタトゥー
溶け出した金属イオンが歯と歯茎の境目に沈着し、その部分の歯茎を黒っぽく変色させてしまうことがあります。
これは「メタルタトゥー」と呼ばれ一度変色してしまうと、自然に元の色に戻ることはありません。
メタルフリー治療という解決策

これらの問題を根本から解決する。
そして美しさだけでなく体への優しさ、歯の未来の健康までをも考慮した選択。
それが金属を一切使用しない「メタルフリー治療」なのです。
機能美をその歯に―当院がこだわり抜く審美治療の世界
私たちは患者様一人ひとりのお顔立ち、唇の形、肌の色そして隣り合う歯の色や形、そのすべてと完璧に調和する世界に一つだけの歯を創り上げます。
そのために多様な素材と治療法をご用意し、あなたのご希望とお口の状態に合わせた最善の選択肢をご提案します。
詰め物(インレー)・被せ物(クラウン)―素材ごとの特徴
| 素材 | 特徴 | 適用 | メリット |
| オールセラミック | すべてがセラミックでできた最も審美性に優れた素材 | 前歯に最適 | 天然歯の透明感とグラデーションを再現、金属アレルギーなし |
| ジルコニア | 「白い金属」と呼ばれるほどの圧倒的な強度を誇るセラミック | 奥歯やブリッジに最適 | 美しさと耐久性を高いレベルで実現 |
| ハイブリッドセラミック | セラミック微粒子とレジンを高密度で混合した素材 | 費用を抑えたい方に | 天然歯に近い柔らかさで相手の歯を傷つけない |
オールセラミック

「すべてがセラミック」でできた最も審美性に優れた素材です。
天然の歯が持つ光の透過性や透明感、そしてグラデーションを見事に再現することができます。
金属を一切使用しないためアレルギーの心配もなく、歯茎を変色させることもありません。
特に人目に触れやすい前歯の治療において、その真価を最大限に発揮します。
ジルコニア

「白い金属」とも呼ばれるほどの圧倒的な強度としなやかさを誇る、セラミックの一種です。
その強度は奥歯のように強い力がかかる部位や、複数本の歯を繋ぐブリッジにも安心して使用できるほどです。
もちろん審美性にも優れており、白く美しい見た目を実現できます。
美しさと耐久性の両方を高いレベルで求める方に最適な素材です。
ハイブリッドセラミック

セラミックの微粒子とレジン(歯科用プラスチック)を高密度で混ぜ合わせた素材です。
オールセラミックほどの透明感はありませんが、天然の歯に近い適度な柔らかさを持っているのが特徴です。
そのため噛み合う相手の歯を傷つけにくいという優しい利点があります。
また他のセラミック素材に比べて、比較的費用を抑えることが可能です。
歯の表面を美しく整える―ラミネートベニアという選択肢

歯の色や形をもっと美しくしたい。
でも歯を大きく削ることには抵抗がある。
そんなご要望にお応えするのが「ラミネートベニア」です。
ラミネートベニアの特徴
- 前歯の表面をごくわずかだけ(0.3~0.5mm程度)削る
- 付け爪のような感覚で薄いセラミックのシェルを貼り付け
- ホワイトニングでは白くならなかった歯を理想の白さに
- 歯と歯の間のわずかな隙間を埋める
- 欠けてしまった歯の先端の形を整える
- 短期間でお口元の印象を劇的に変化
最小限の侵襲で最大の効果を―ダイレクトボンディング

虫歯治療などで歯を削った部分に歯科医師が直接、お口の中でレジン(歯科用プラスチック)を何層にも盛り付け、光で固めながら天然歯のような複雑な形や色合いを再現していくテクニックです。
ダイレクトボンディングのメリット
- 歯を削る量を最小限に抑制
- 多くの場合1日で治療が完了
- 型採りが不要で患者様の負担が少ない
ただしこれは歯科医師の技術力と美的センスが仕上がりを大きく左右する、非常に繊細な治療でもあります。
最高の作品を生み出す私たちの技術と哲学
美しい芸術作品が緻密なデッサンから生まれるように。
私たちの審美治療もまた精密な診査・診断から始まります。
精密な診査・診断がすべての土台です

私たちはiTero(アイテロ)という光学スキャナーを用いて、精密な歯型データを取得します。
これにより治療前の状態をコンピューター上で正確に再現することが可能です。
さらに必要に応じて歯科用CTによる撮影を行い、骨格や噛み合わせの状態までを詳細に分析します。
診断プロセス
- iTeroによる精密な歯型データ取得
- 歯科用CTによる骨格・噛み合わせ分析
- デジタルデータを駆使した科学的根拠に基づく治療計画立案
- 治療後のシミュレーション画像で完成形イメージ共有
患者様と私たちの間で完成形のイメージを寸分違わず共有するプロセスを何よりも大切にしています。
セレックシステム―高品質なセラミック治療をより身近に

当院では詰め物や被せ物といった修復物をコンピューター制御で設計・製作する「セレックシステム」を導入しています。
セレックシステムの流れ
- スキャンしたお口のデータをもとにコンピューターが理想的な歯の形を設計
- そのデータ通りに機械がセラミックの塊から精密に修復物を削り出し
- 歯科技工士が手作業で行っていた工程を自動化
- 人の手によるばらつきがなく常に高精度な仕上がりを実現
セレックシステムのメリット
- 院内で製作が完了するため技工所に依頼する必要がない
- 治療期間を大幅に短縮
- 費用も抑えることが可能
- 高品質なセラミック治療をより多くの患者様に提供
歯科技工士との密な連携

最終的な歯の色合いや透明感の微調整など、機械だけでは再現しきれない繊細な領域も存在します。
そのような場合には審美修復物を専門とする高い技術を持った歯科技工士と緊密に連携します。
歯科医師と歯科技工士が患者様のお口の写真を共有し、直接ディスカッションを重ねることで細かなニュアンスまでを完璧に反映させた、まさにオーダーメイドの一品を創り上げていきます。
最後に
審美治療はあなたの口元に自信という輝きを取り戻す治療です。
それは機能性、耐久性そして全身の健康までも見据えた包括的な歯科医療の一分野でもあります。
コンプレックスを最高の自信へ。
その第一歩をぜひ当院で踏み出してみませんか。
あなたの中に眠る最高の笑顔に出会うためのお手伝いを、私たちが全力でいたします。

050-1809-9646