重度の歯周病には要注意!症状と治療の方法・費用・期間、放置リスクとは
こんにちは。千葉県流山市にある歯医者「ABC歯科クリニック」です。
歯周病は成人の約8割がかかるといわれている非常に一般的な歯科疾患です。その中でも進行が進んだ重度の歯周病は、歯を失う原因となるだけでなく、全身の健康にも大きく影響を与える可能性があります。
「重度だとどんな症状が出るの?」「重度の歯周病ってどうすれば治るの?」などの疑問をお持ちの方もいるでしょう。
今回は、歯周病が重度になった時の症状や具体的な治療方法、かかる費用や期間などについてくわしく解説します。歯周病について知りたい方やお悩みの方は、ぜひ参考にしてみてください。
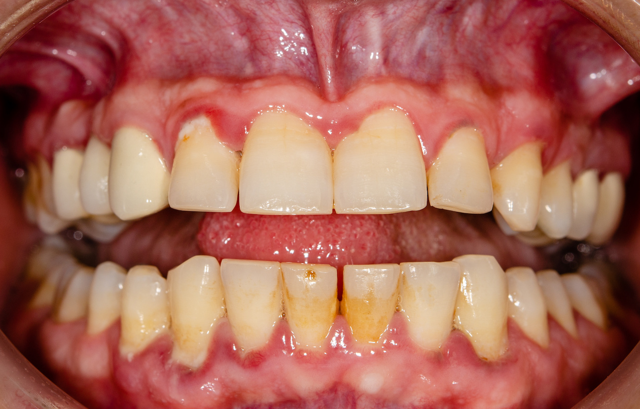
重度の歯周病の症状
歯周病とは、歯と歯の間に溜まったプラークや歯石に含まれる細菌によって、歯を支える組織が炎症を起こす疾患です。初期の段階からさまざまな症状が出始めますが、重度にまで進行すると初期段階よりもはるかに深刻な症状になります。
以下に、主な症状をご紹介します。
歯茎の腫れや出血
歯周病は初期の段階から、歯茎の腫れや、歯磨きの際に出血しやすくなるなどの症状が現れます。重度にまで進行すると、通常は引き締まっている歯茎が、触るとぶよぶよとした感触になり、腫れが慢性化して歯を磨いていなくても自然に出血することもあります。
また、歯と歯茎の隙間から膿が出たりして、痛みや不快感が発生することもあるでしょう。
口臭の悪化
歯周病の原因にもなる細菌が口腔内で繁殖することで口臭が強くなります。また、歯周病が重度にまで進行していると歯茎や周囲の組織が破壊されている可能性もあり、不快な臭いを生み出している場合もあります。この口臭は歯磨きやマウスウォッシュでは改善されにくいです。
歯茎が下がる
細菌による炎症が歯を支える組織である歯槽骨に到達すると、歯槽骨が破壊され歯を支える骨の量が減少します。それにより歯茎が通常よりも下がり、歯が長く見えるなどの症状が起きるのです。
歯周病が初期の段階では、歯茎が下がったと感じることはほぼ無いため、歯茎が下がった、歯が長くなったと感じた時には歯周病はかなり進行している状態でしょう。
歯がぐらつく
細菌によって歯を支える組織が破壊されると、歯がぐらつき始めます。歯槽骨を失い歯茎が弱くなると歯を支える力が失われるのです。歯がぐらつき始めると食事の際にしっかりと物を噛むことが難しくなるだけでなく、放置すると歯が抜け落ちるケースもあります。
その他の全身症状
重度の歯周病は、口腔内だけでなく全身に影響が出る場合もあります。例えば、あごの痛みや頭痛、全身の倦怠感なども歯周病が原因として起こる症状として挙げられます。
度の歯周病の治療方法
重度の歯周病の治療方法は、進行度や患者さまの口腔内の状態によって異なります。それぞれくわしく解説します。
歯周基本治療
歯周基本治療とは、歯周病を治療するための基本的な治療のことです。まずは歯周病の原因となる細菌を除去し、歯石やプラークを専用の器具を使って徹底的に掃除します。そして歯の表面を滑らかにする処置を行い、汚れをつきにくくします。
細菌の繁殖を抑えるための処置をしたら、正しいブラッシング方法の指導を行い、炎症の改善を目指すのです。
外科治療
症状によっては歯周基本治療だけでなく、外科的な治療が必要な場合もあります。歯茎を切開して歯の根元に付いている歯石やプラークを除去するフラップ手術などを行います。歯を支える組織がなくなっているなど、歯を保存できない場合には抜歯を行うこともあります。
歯周組織再生療法
歯周組織再生療法とは、歯周病が進行して失われた歯槽骨などの歯周組織を、特殊な薬剤や再生膜を使用し再生を促す治療方法です。歯周病の進行を食い止めるだけでなく、再生による改善が期待できます。外科治療と合わせて行う場合が多いです。
歯を補う治療
歯周病によって弱くなった歯や周りの組織を補ったり、歯が抜け落ちたりした場合などに行う治療です。歯がぐらついている場合には、隣接する健康な歯を利用して被せ物などで固定させます。
歯が抜け落ちている場合には、インプラント治療で歯を補うことも選択肢に入るでしょう。
重度の歯周病の治療費用
重度の歯周病の治療にかかる費用は、治療内容や選択する治療内容によって大きく変わります。また、どのような治療でも定期的な通院やメンテナンスが必要になることが多いため、総額を考慮すると良いでしょう。
以下で、それぞれくわしく解説します。
保険診療の場合
歯周病の治療には、基本的に保険が適用されます。治療内容は基本的なものにはなるため、治療内容に希望がある方は、事前に歯科医師に相談すると良いでしょう。
歯周基本治療
歯周基本治療は1回あたり数百円から1,000円程度で受けることができます。歯周病が重度の場合は1回の治療で終わることはなく、治療が完了するまで数回行う必要があります。
外科手術
重度の歯周病の治療には外科手術を行う場合が多いでしょう。フラップ手術を行う場合には、治療の部位にもよりますが、1回の手術で3割負担の場合2,000円から7,000円程度です。
歯を補う治療
歯がぐらついたり歯が抜け落ちたりしたときに入れ歯やブリッジを使用することがあります。入れ歯を作成するのにかかる費用は1万円から3万円程度が目安です。ブリッジの場合は、1万円から2万円程度が目安になるでしょう。
使用する素材によっては自費診療になることもあるため確認が必要です。
自由診療の場合
保険診療は病気の改善を目的とした治療のみと限定されますが、自由診療ではより高度で患者さまの希望に合わせた治療方法を選択することができます。費用は全額負担となるため、保険診療よりも高額になることが多いでしょう。
歯周組織再生療法
エムドゲインなどの歯周組織の再生を促す治療は自費診療の場合が多いです。かかる費用は治療部位によりますが、1本あたり10万円から30万円程度が目安です。
歯を補う治療
自由診療の場合は、入れ歯や被せ物の素材を丈夫さや見た目のきれいさで選択することができます。また、インプラントを検討することもでき、その場合の費用は1本あたり30万円から50万円程度が目安になります。
重度の歯周病の治療期間
重度の歯周病の治療には、ある程度の時間がかかることを理解しておくと良いでしょう。初期だと2~3回の通院で終了していた治療も、進行するにつれて治療に必要な期間も長くなります。重度にまで進行している場合には、半年から1年程度かかることが多いです。
治療にかかる期間だけでなく、その後の経過観察の期間やメンテナンスに必要な期間も含めて、10回以上の通院が必要になることも珍しくありません。選ぶ治療方法によっては通院回数が短くなる場合もあるので、気になる方は事前に歯科医師に相談すると良いでしょう。
重度の歯周病の放置リスク
重度の歯周病を放置するとさまざまな悪影響があります。以下で、放置することで起こる主なリスクについて解説します。
歯を支える組織が破壊される
歯周病が重度になると、歯槽骨などの歯を支える組織が破壊されて歯が抜け落ちる場合があります。一度失った歯は元に戻すことができません。
歯がなくなると噛む力が弱まるだけでなく、空いたスペースに隣の歯が倒れてきたり、全体の歯が移動したり、歯並びが乱れる可能性もあるでしょう。
また、歯が抜けた後、あごの骨が吸収される現象が起きます。あごの骨が痩せて顔の輪郭が変わることがあります。あごの骨が痩せたり薄くなったりするとインプラント治療が難しくなるケースもあります。
全身疾患のリスク
歯周病が悪化すると、口腔内だけでなく全身に影響が出るリスクも存在します。細菌が歯茎などから血管に入り込むことで、心臓病や脳梗塞、糖尿病などの病気のリスクを高める可能性があるのです。
また、妊娠中の方は通常よりも生まれてくる時期が早まる早産や、2,500グラム未満の低体重の子供が生まれるリスクも高くなります。
精神的な負担
歯のぐらつきや口臭、慢性的な歯茎からの出血などの症状は日常的にストレスを与える要因になるでしょう。また、歯茎が下がったりして見た目に対するコンプレックスから精神的な負担が増える方もいるでしょう。
まとめ
歯周病が重度に進行すると、歯を失うだけでなく、全身の健康にも悪影響を及ぼす可能性があります。歯周病が重度にまで進行すると自然に治ることは無く、治療にかかる費用や期間も多くなり、初期の歯周病治療と比べて負担が大きくなります。
治療には自費診療と保険診療があるので、自分に合った治療方法を選びましょう。放置するとほかの病気のリスクが高くなるだけでなく、コンプレックスの原因につながることもあります。
歯周病が重度にまで進行するのを防ぐために、正しい口腔ケアと定期的な歯科検診を行うことが大切です。
歯周病の治療を検討されている方は、千葉県流山市にある歯医者「ABC歯科クリニック」にお気軽にご相談ください。
当院では、マウスピース矯正やインプラント、一般歯科、予防歯科、審美歯科など、さまざまな診療を行っています。ホームページはこちら、 Web診療予約も受け付けておりますので、ぜひご覧ください。

050-1809-9646

