千葉県流山市の総合歯科医院で美しい笑顔を

症例一覧

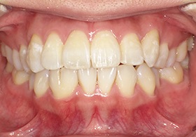
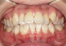
インビザライン 症例⑥

治療前

Before

治療後

After

年齢 20代
性別 女性
主訴 歯並びを治したい

インビザライン 症例⑤

治療前

Before

治療後

After

年齢 20代
性別 男性
主訴 歯並びを治したい

インビザライン 症例④

治療前

Before

治療後

After

年齢 20代
性別 女性
主訴 歯並びを治したい

治療前

Before

治療後

After

年齢 50代
性別 女性
主訴 噛み合わせを治したい

インビザライン 症例②

治療前

Before

治療後

After

年齢 20代
性別 男性
主訴 歯並びをなおしたい

インビザライン 症例①

治療前

Before

治療後

After

年齢 20代
性別 男性
主訴 歯並びをなおしたい

矯正 症例 前歯のワイヤー矯正2

治療前

Before

治療後

After

年齢 30歳
性別 女性
主訴 上前歯のみ部分的に治療したい

矯正 症例 前歯のワイヤー矯正

治療前

Before

治療後

After

年齢 30歳
性別 女性
主訴 上前歯のみ部分的に治療したい

矯正 症例 ワイヤー矯正

治療前

Before

治療後

After

年齢 19歳
性別 男性
主訴 八重歯を治療したい

矯正 症例 取り外し装置(FKO)

治療前

Before

治療後

After

年齢 12歳
性別 女性
主訴 前歯をひっこめたい
ご予約 ➝ RESERVATION お電話 ➝ TEL