千葉県流山市の総合歯科医院で美しい笑顔を

症例一覧

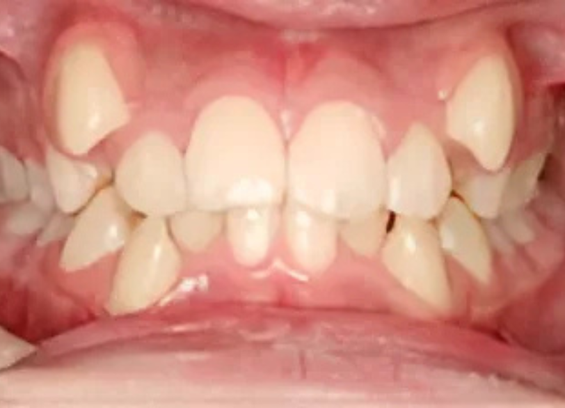
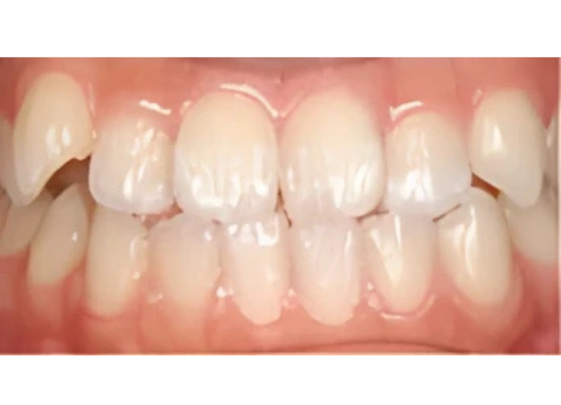
矯正 症例 上顎全員ワイヤー、下顎臼歯ワイヤー

治療前

Before

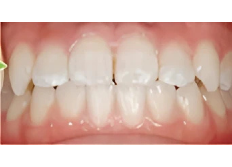
治療後

After

年齢 23歳
性別 女性
主訴 八重歯、下の奥歯が倒れているのが気になる

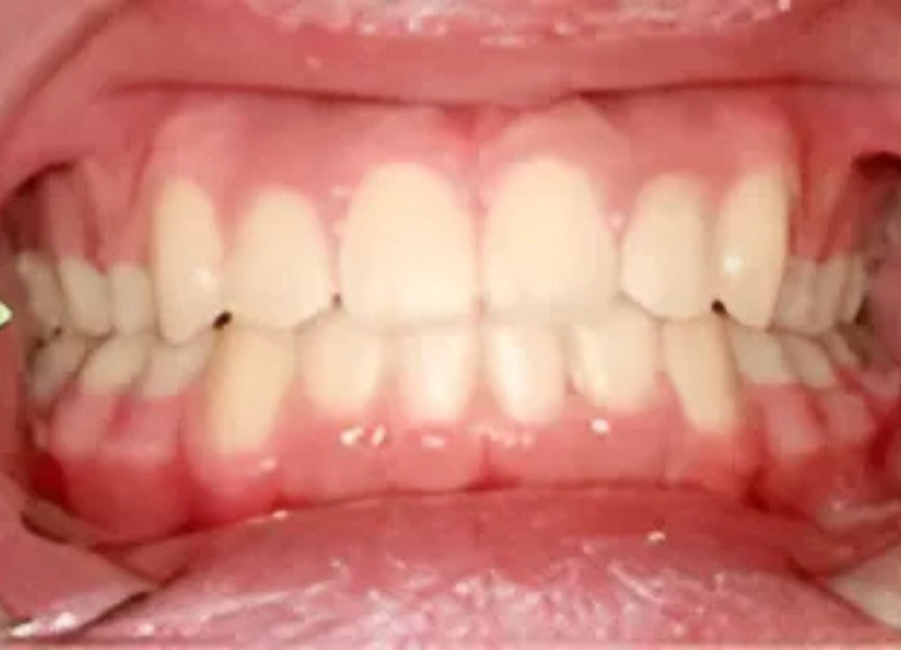
矯正 症例 上顎のみ全額ワイヤー

治療前

Before

治療後

After

年齢 17歳
性別 男性
主訴 八重歯、全体の歯並びが気になる

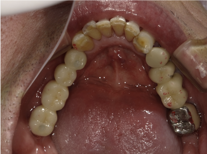
インプラントブリッジ

治療前

Before

治療後

After

年齢
性別
主訴
ご予約 ➝ RESERVATION お電話 ➝ TEL