千葉県流山市の総合歯科医院で美しい笑顔を

歯のコラム

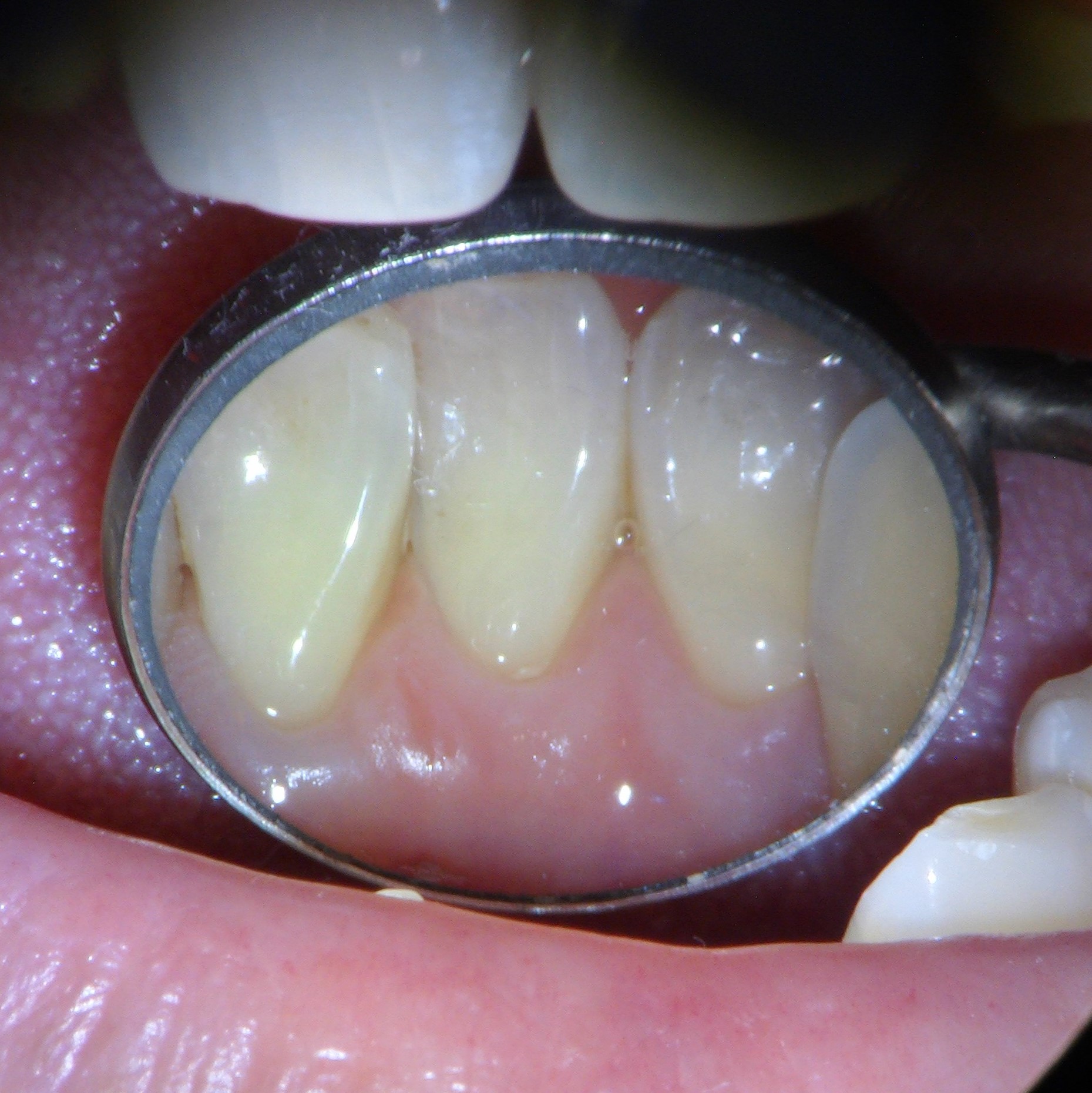
歯石


皆様こんにちは☆ABC歯科クリニックです(´∀`)

毎食後歯ブラシしていても、下の歯の裏側には歯石が付いてしまいます(>_<) 定期健診等のクリーニングで歯石除去をさせて頂くのと同時に歯石が付かないようにする対策もお話し出来ればと思います(^^)


ご予約 ➝ RESERVATION お電話 ➝ TEL