千葉県流山市の総合歯科医院で美しい笑顔を

歯のコラム

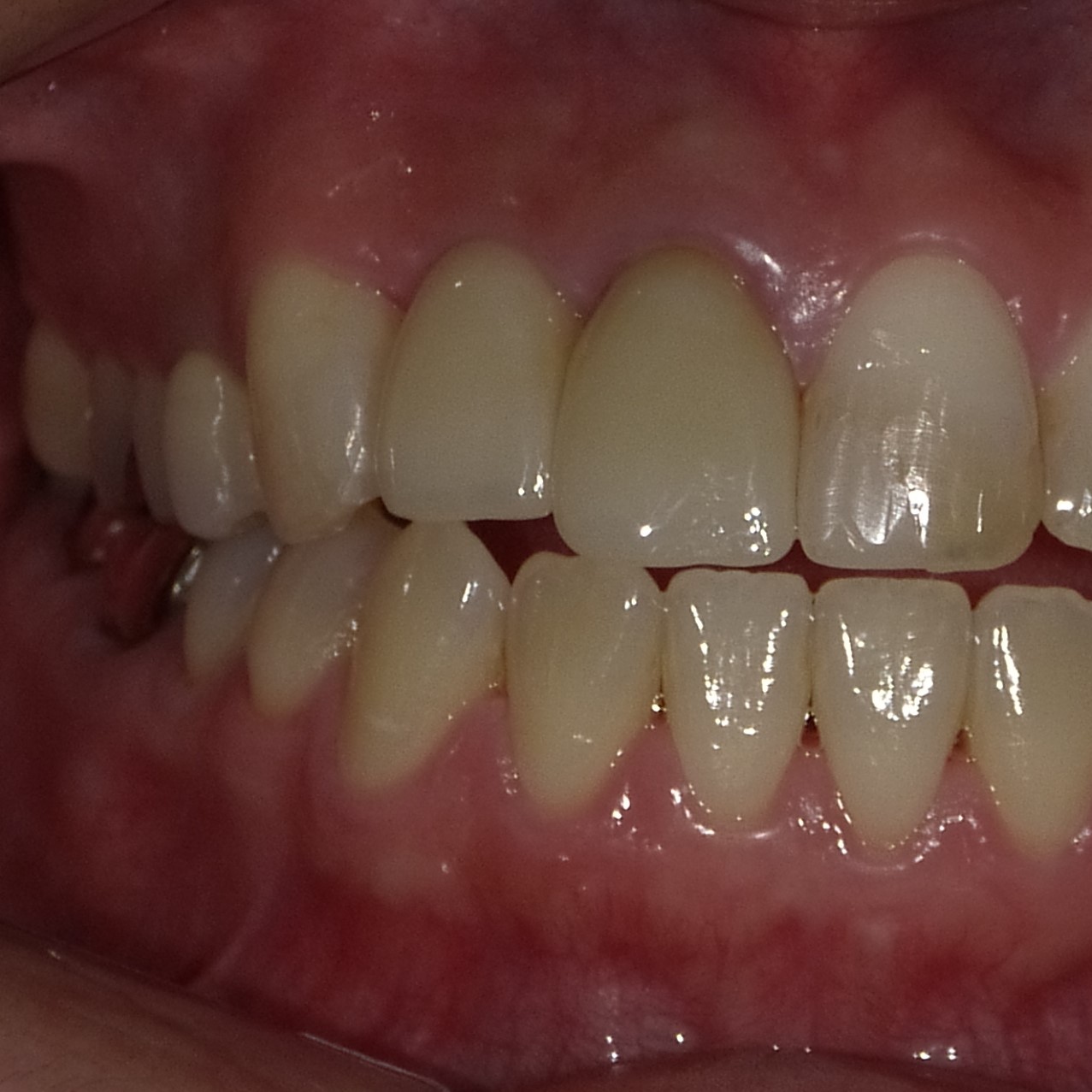
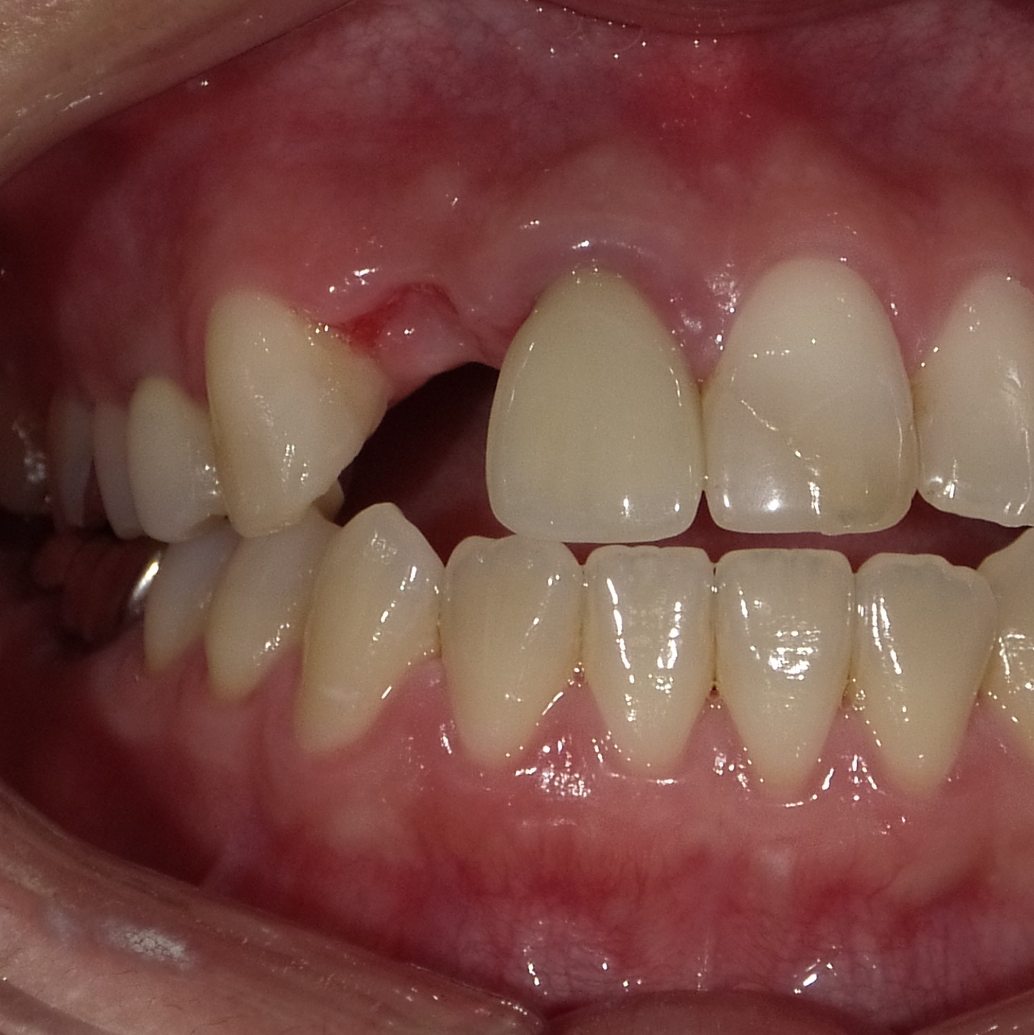
インプラント症例


皆様こんにちは☆ABC歯科クリニックです✿

今回はインプラント症例です!

インプラント埋入と同時に CTG(結合組織移植術 Connective Tissue Graft)を行っています。 CTGは口蓋から歯肉を採取し結合組織を移植する術式で、歯肉に厚みを持たせることで、審美的回復を目的とするものです。 写真を見ても分かる通り、歯肉のラインがキレイになっていていますよね(*^-^*) 口腔内の状態を確認して適した方法でインプラント手術を行ってます。


ご予約 ➝ RESERVATION お電話 ➝ TEL