千葉県流山市の総合歯科医院で美しい笑顔を

歯のコラム

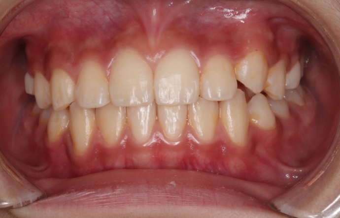
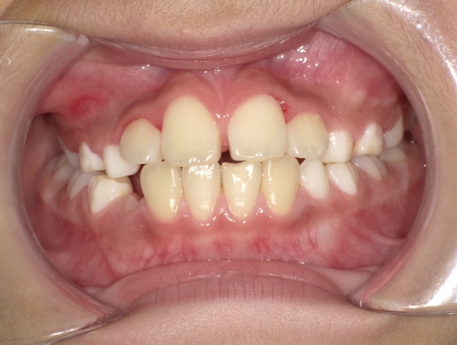
小児矯正ビフォーアフター


皆様こんちは☆ABC歯科クリニックです

下の写真は小児矯正前2年前と矯正後去年の12月に撮った写真です!

すごく綺麗に歯が並んできました(´∀`)

ワイヤーで歯を綺麗に並べてから現在は取り外し可能な装置をお食事と歯磨きの時以外付けてもらっている状況です☆


ご予約 ➝ RESERVATION お電話 ➝ TEL