千葉県流山市の総合歯科医院で美しい笑顔を

歯のコラム

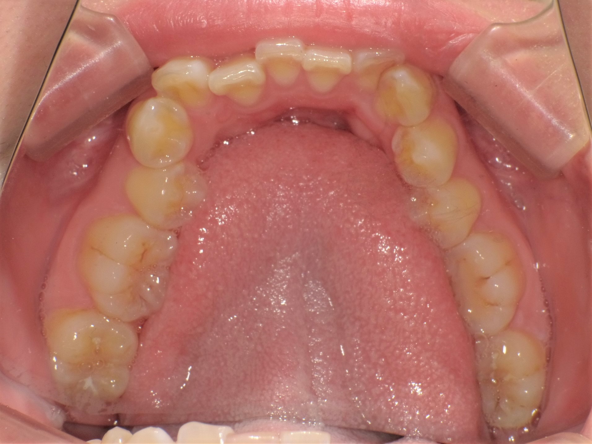
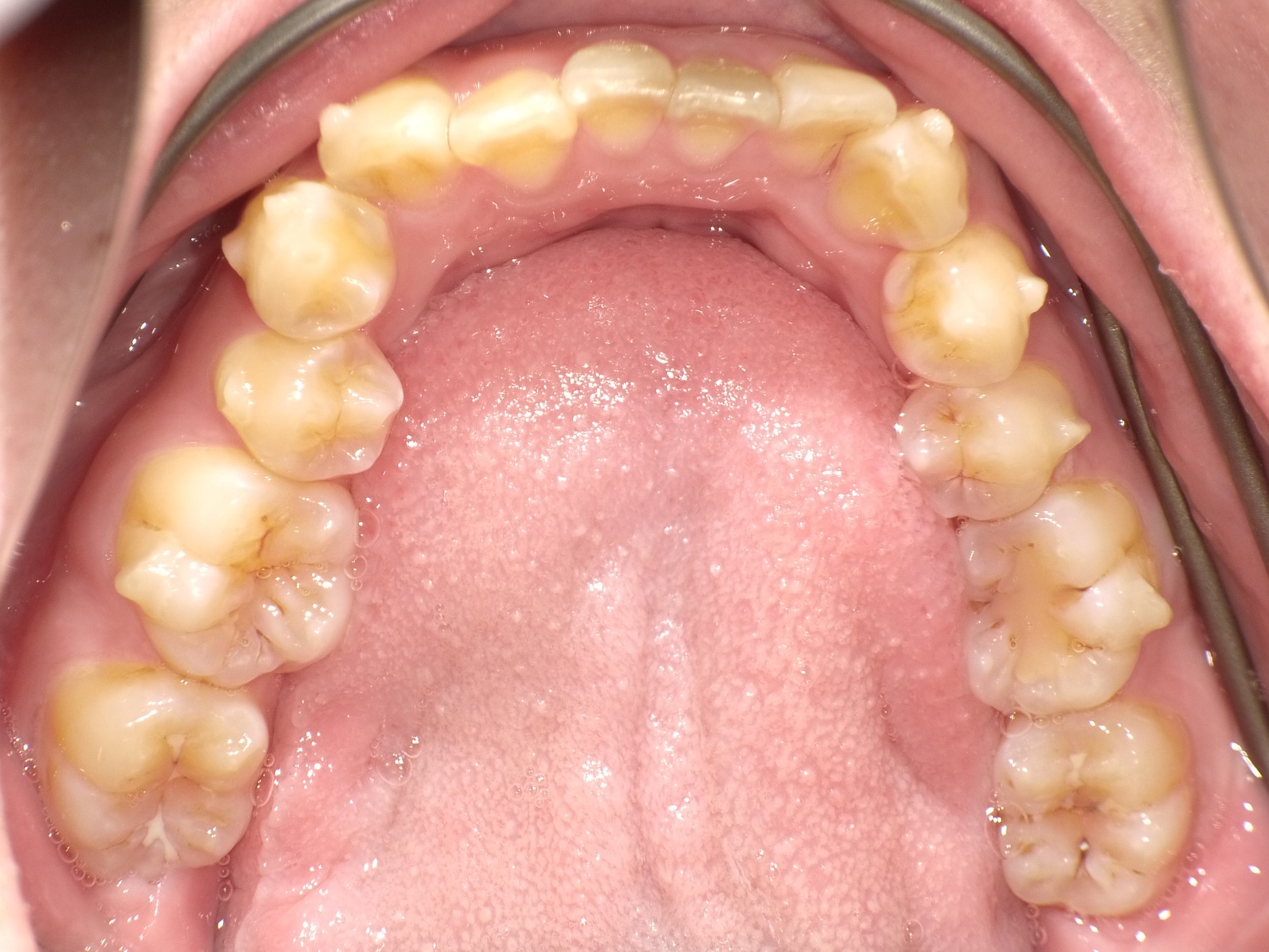
インビザライン途中経過


皆様こんにちは☆ABC歯科クリニックです。

インビザライン(マウスピース矯正)治療中の方の写真になります(^^)

下の写真見比べていただくとわかると思うのですが前歯が綺麗に並び始めてきました☆

インビザライン興味のある方は是非ABC歯科クリニックまで(´∀`)


ご予約 ➝ RESERVATION お電話 ➝ TEL