千葉県流山市の総合歯科医院で美しい笑顔を

歯のコラム

インビザライン


こんにちは(^^) 流山市のABC歯科クリニックです。

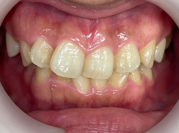
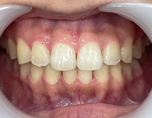
インビザライン(マウスピース矯正)の症例をご紹介いたします。

20代女性の方で、1年1カ月でこのようにキレイに並びました(*^_^*)

前後の写真を見ていただくと一目瞭然ですよね。

インビザラインはマウスピースをご自身で交換などしていただいたり、1日20時間は装着しないといけなかったりと、、ご本人のやる気がないと治療が進みません。

ですが、このように実際に見た目が変わると嬉しいですよね(^^)/

一緒に頑張りましょう♡

   施術前                      施術後


ご予約 ➝ RESERVATION お電話 ➝ TEL