千葉県流山市の総合歯科医院で美しい笑顔を

歯のコラム

ホワイトニング✨


こんにちは(^^) 流山市のABC歯科クリニックです。

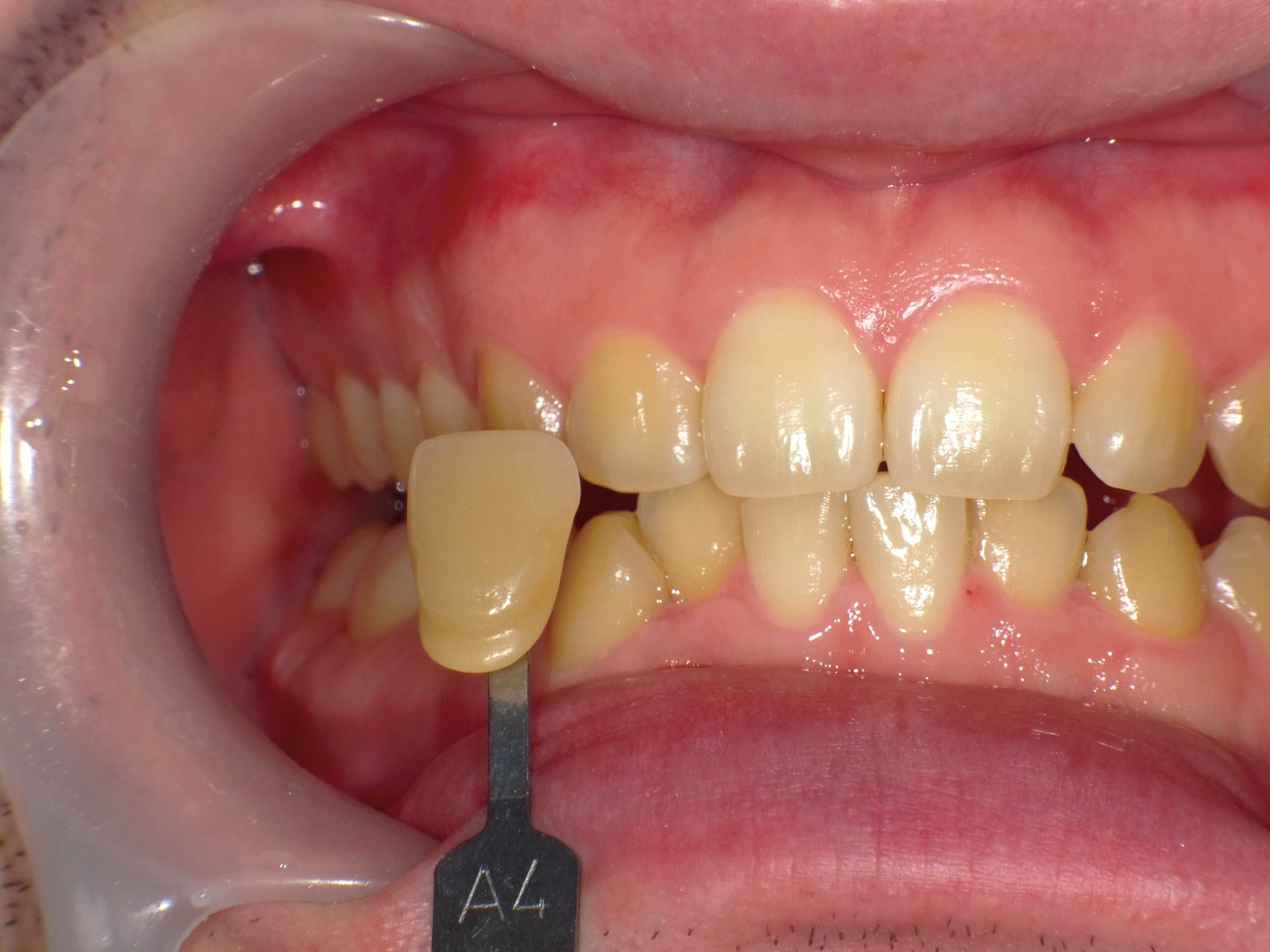
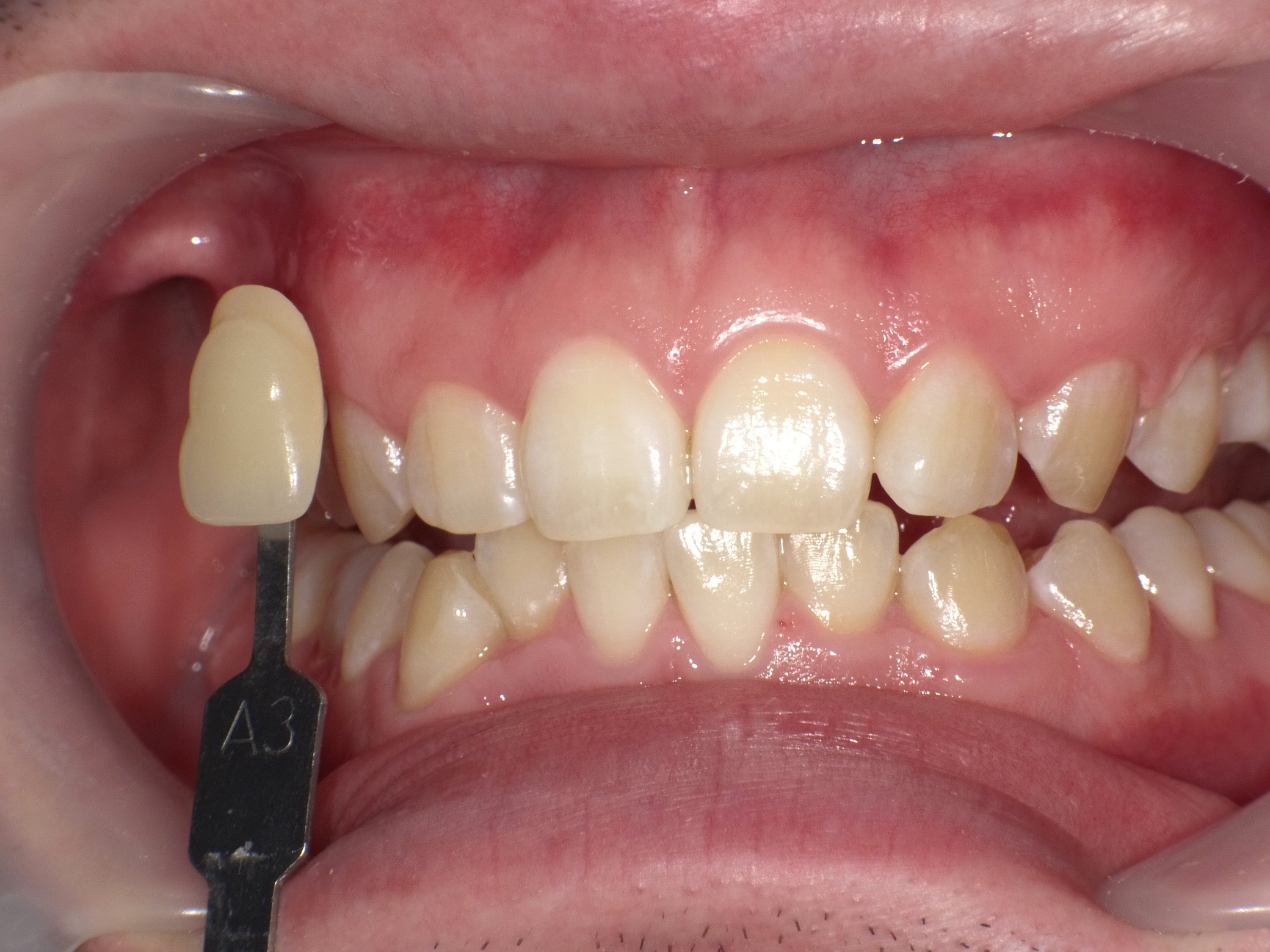
今回はホワイトニングの症例を紹介したいと思います(^^)/

こちらの方はオフィスホワイトニングをしています。

写真でもわかる通り、白さが2段階くらいあがっています。

個人差はありますが、ご希望があれば虫歯チェックをした後ですすめていく事が出来ます(*^_^*)

是非、お声かけ下さいm(__)m


            前                  後

ご予約 ➝ RESERVATION お電話 ➝ TEL